Radiologie X-thorax

X i
Dit is de afdeling radiologie waar het onderzoek zal zijn.
This is the radiology department where the research will take place.
Ceci est le service radiologie dans lequel sera effectué l’examen.
Jest to dział radiologii, w którym przeprowadzone będą badania.
Burası incelemenin yapılacağı radyoloji departmanıdır.
هذا قسم الأشعة حيث يتم إجراء الفحص.
X i
Bij dit onderzoek worden er foto’s van je bovenlijf gemaakt. Dit zijn geen gewone foto’s, maar zogenaamde röntgenfoto’s. Op deze foto’s ziet de dokter hoe de binnenkant van je lijf eruit ziet. De verpleegkundige die de foto’s maakt, noem je de laborante. Dit is de kamer waar de röntgenfoto’s worden gemaakt. In deze kamer is het altijd een beetje donker zodat de foto’s goed op het computerscherm te zien zijn voor de laborante.
During this examination, photos will be taken of your upper body. These are not ordinary photos, but so-called x-rays. The doctor can use these photos to see what the inside of your upper body looks like. The employee who takes the photos is called the lab technician. This is the room where the x-rays are made. This room is always rather dark so that the person making the x-rays can see the photos clearly on the computer screen.
Cet examen consiste à prendre des photos de ton torse. Ce ne sont pas des photos ordinaires mais ce que l’on appelle des radiographies. Sur cette image le médecin peut voir à quoi ressemble votre corps de l’intérieur. L’infirmi(è)r(e) qui fait les radios s’appelle le technicien de laboratoire. Voici la pièce où l’on fait les radiographies. Dans cette pièce, il fait toujours un peu sombre afin que la personne qui prend les photos puisse bien voir les photos sur l’écran de l’ordinateur.
Podczas tego badania zostaną wykonane zdjęcia górnej części Twojego ciała. To nie są zwykłe fotografie, ale tak zwane prześwietlenia, czyli zdjęcia rentgenowskie. Lekarz może użyć tych zdjęć, aby zobaczyć, jak wygląda wnętrze górnej części Twojego ciała. Pielęgniarka, która wykonuje zdjęcia, nazywa się laborantką lub technikiem laboratoryjnym. Jest to pomieszczenie, w którym wykonywane są prześwietlenia. Ten pokój jest zawsze dość mocno zaciemniony, aby osoba wykonująca prześwietlenie mogła wyraźnie zobaczyć zdjęcia na ekranie komputera.
Bu inceleme sırasında üst bedeninizin fotoğrafları çekilecektir. Bunlar sıradan fotoğraflar değil röntgen adı verilen fotoğraflardır. Doktor bu fotoğrafları üst vücudunuzun iç kısmının nasıl göründüğüne bakmak için kullanabilir. Fotoğraf çeken çalışanına laboratuvar teknisyeni adı verilir. Burası röntgenlerin çekildiği odadır. Bu oda her zaman oldukça karanlıktır, böylece röntgen çeken kişi fotoğrafları bilgisayar ekranında net bir şekilde görebilir.
خلال هذا الفحص، يتم التقاط صور للجزء العلوي من الجسم. إنها ليست صوراً عادية بل صور تدعى بصور الأشعة السينية. يستطيع الطبيب من خلال هذه الصور رؤية ما بداخل الجزء العلوي من الجسم. يسمى الممرض المسؤول عن أخذ الصور بفني المختبر. هنا سيتم أخذ صور إكس راي أشعة سينية. يعم في هذه الغرفة ظلام دائم لكي يتمكن الشخص المسؤول عن أخذ صور إكس راي الأشعة السينية من رؤية الصور بشكل واضح على شاشة الحاسوب.
X i
Voor het maken van de foto’s doe je je bovenkleding uit.
For the photos to be taken, you must remove your clothing on the upper half of your body.
Pour que l’on puisse prendre les photos, tu dois enlever les vêtements du haut de ton corps.
Przed zrobieniem zdjęć, będziesz musiał zdjąć ubranie z górnej części ciała.
Çekilecek fotoğraflar için vücudunuzun üst yarısındaki giysilerinizi çıkarmalısınız.
من أجل أخذ الصور، يجب عليك خلع ملابس الجزء العلوي من جسمك.
X i
Je begeleider krijgt een speciaal schort aan. Je begeleider mag bij je blijven tijdens het maken van de foto’s of staat in een kamertje dichtbij.
The person accompanying you will be given a special apron. Your supervisor may stay with you while taking the photos or stay in a nearby room.
La personne qui t’accompagne porte un tablier spécial. Votre infirm(è)r(e) reste près de vous pendant la prise des radios ou se trouve dans une pièce à proximité.
Osoba, która Ci towarzyszy dostanie specjalny fartuch. Może ona zostać z Tobą podczas wykonywania zdjęć lub udać się do pomieszczenia obok.
Size refakat eden kişiye özel bir önlük verilecektir. Fotoğraflar çekilirken sizinle birlikte kalabilir ya da yakındaki bir odada kalabilir.
يحصل مشرفك على فوطة خاصة. بإمكانه أن يظل معك أثناء أخذ الصور أو البقاء في غرفة مجاورة.
X i
De laborante legt uit wat er gaat gebeuren. Voor het maken van de foto’s ga je met je bovenlijf dicht tegen het fotoapparaat staan. Je wordt daarbij geholpen. De laborante doet in het apparaat een lichtje aan om te kijken of je goed staat.
The person taking the photos will explain what she is doing. In order to take the photos, you must stand with your upper body close to the x-ray machine. The assistant will help you to stand in the correct position. The person taking the photos then turns on a light inside the machine to see if you are in the right position.
La personne qui prend les photos t’explique ce que tu dois faire. Lorsque l’on prend les photos, tu dois mettre ton torse tout contre l’appareil de photos. On t’aide à la faire. La personne qui prend les photos allume une petite lumière dans l’appareil pour voir si tu es dans la bonne position.
Laborantka będzie wyjaśniać Ci, co robi. Aby zdjęcia mogły zostać zrobione, będziesz musiał stanąć tak, aby górna część ciała była blisko aparatu rentgenowskiego. Asystentka pomoże Ci stanąć we właściwej pozycji. Następnie, laborantka włączy światło wewnątrz urządzenia, aby sprawdzić, czy znajdujesz się we właściwej pozycji.
Laboratuvar teknisyeni ne yaptığını açıklayacaktır. Fotoğrafların çekilmesi için, üst gövde röntgen makinesine yakın olacak şekilde ayakta durmanız gerekir. Asistan, doğru pozisyonda durmanıza yardımcı olacaktır. Laboratuvar teknisyeni daha sonra doğru konumda olup olmadığınızı görmek için makinenin içindeki ışığı açar.
يقوم فني المختبر بشرح ما يفعله. حتى يتمكن من أخذ الصور، عليك الوقوف وجعل جسمك العلوي قريباً من جهاز الأشعة السينية. سيساعدك المساعد على الوقوف بطريقة صحيحة. يشعل فني المختبر ضوءً على الجهاز للتحقق من صحة وضعيتك.
X i
De laborante gaat naar een kamertje. Door het raam kan zij jou goed zien terwijl zij de foto’s maakt. Het apparaat maakt een brommend geluid. Als een foto gemaakt wordt moet je heel stil staan.
The person taking the photos then goes to another room. She can still see you through a window while she is taking the photos.Taking the photos does not hurt.The machine makes a humming sound. When a photo is taken you must stand very still.
La personne qui prend les photos va dans une petite pièce. Lorsqu’elle prend les photos, elle peut bien te voir à travers la vitre. Lorsque l’on prend les photos, cela ne te fait pas mal. L’appareil bourdonne. Lorsque l’on prend la photo, tu dois rester complètement immobile.
Następnie, laborantka przejdzie do pokoju obok. Podczas robienia zdjęć będzie Cię obserwować przez okno. Wykonywanie zdjęć nic nie boli. Maszyna wydaje buczący dźwięk. Podczas robienia zdjęcia musisz stać bardzo nieruchomo.
Laboratuvar teknisyeni daha sonra başka bir odaya gider. Fotoğraf çekerken sizi hala pencereden görebilir. Fotoğraf çekmek acı vermez. Makine uğultulu bir ses çıkarır. Fotoğraf çekilirken tamamen hareketsiz durmalısınız.
يتجه فني المختبر إلى غرفة أخرى. يمكنه رؤيتك من خلال النافذة بينما يلتقط الصور. إن عملية أخذ الصور ليست مؤذية تماماً. تصدر الآلة صوت همهمة. عند أخذ الصور، يجب أن تظل ثابتاً.
X i
Er worden verschillende foto’s gemaakt. Voor het maken van deze foto’s sta je met de zijkant van je bovenlijf tegen het fotoapparaat. Met je handen houd je een stang vast. In het fotoapparaat gaat het lichtje weer aan om te kijken of je goed staat.
Different photos will be taken. When the photos are taken you must stand with the side of your upper body against the x-ray machine. You can hold onto a pole with your hands. A light in the machine will be turned on again to check that you are in the right position.
On prend plusieurs photos. Quand on prend les photos, tu dois mettre le côté de ton torse contre l’appareil de photos. Tu dois mettre les mains sur une barre. Sur l’appareil de photos, la petite lumière est de nouveau allumée pour voir si tu es dans la bonne position.
Zostaną wykonane różne zdjęcia. Podczas wykonywania zdjęć musisz ustawić się bokiem do urządzenia rentgenowskiego. Możesz przytrzymywać się uchwytu. Światło w maszynie zostanie ponownie włączone, aby sprawdzić, czy jesteś ustawiony we właściwej pozycji.
Farklı fotoğraflar çekilecektir. Fotoğraflar çekildiğinde, vücudunuzun üst kısmının yan tarafı röntgen cihazına karşı olacak şekilde durmanız gerekir. Ellerinizle direğe tutunabilirsiniz. Doğru konumda olup olmadığınızı kontrol etmek için makinedeki bir ışık tekrar açılacaktır.
سيتم أخذ عدة صور مختلفة. عند التقاط الصور، يجب عليك الوقوف بينما تجعل جنب جسمك العلوي يقابل جهاز الأشعة السينية. يمكنك التمسك بعمود. يتم مجدداً إشعال ضوء على الجهاز للتحقق من صحة وضعيتك.
X i
Als je nog niet oud genoeg bent om de stang vast te houden, mag je zitten en wordt je geholpen .De laborante vraagt je om je armen omhoog te doen en helpt je hierbij.
If you are not old enough to hold the rod, you can sit and you will be helped. The lab technician asks you to raise your arms and helps you with this.
Si vous n’êtes pas encore assez grand pour tenir la tringle vous pouvez vous asseoir et on vous aidera. Le technicien de laboratoire vous demande de lever les bras et vous aide.
Jeśli nie jesteś wystarczająco duży, by trzymać uchwyt, usiądziesz i ktoś Ci w tym pomoże. Laborantka poprosi Cię o podniesienie rąk i pomoże Ci w tym.
Çubuğu tutabilecek kadar büyük değilseniz, oturabilirsiniz ve size yardımcı olacaklardır. Laboratuvar teknisyeni sizden kollarınızı kaldırmanızı ister ve bu konuda size yardımcı olur.
إذا كنت لست كبيراً بما يكفي للإمساك بالعصا، بإمكانك الجلوس وستتلقى المساعدة. يطلب منك فني المختبر رفع ذراعيك بينما يساعدك على ذلك.
X i
Als de foto’s gemaakt zijn ben je klaar en mag je weg.
When the photos have been taken, you are finished and may leave.
Lorsqu’on a fini de prendre les photos , tu as fini et tu peux partir.
Po zrobieniu zdjęć wszystko jest już gotowe i możesz wyjść.
Fotoğraflar çekildiğinde işiniz bitmiştir ve gidebilirsiniz.
عند الانتهاء من أخذ الصور، يمكنك المغادرة بعدها.
X i
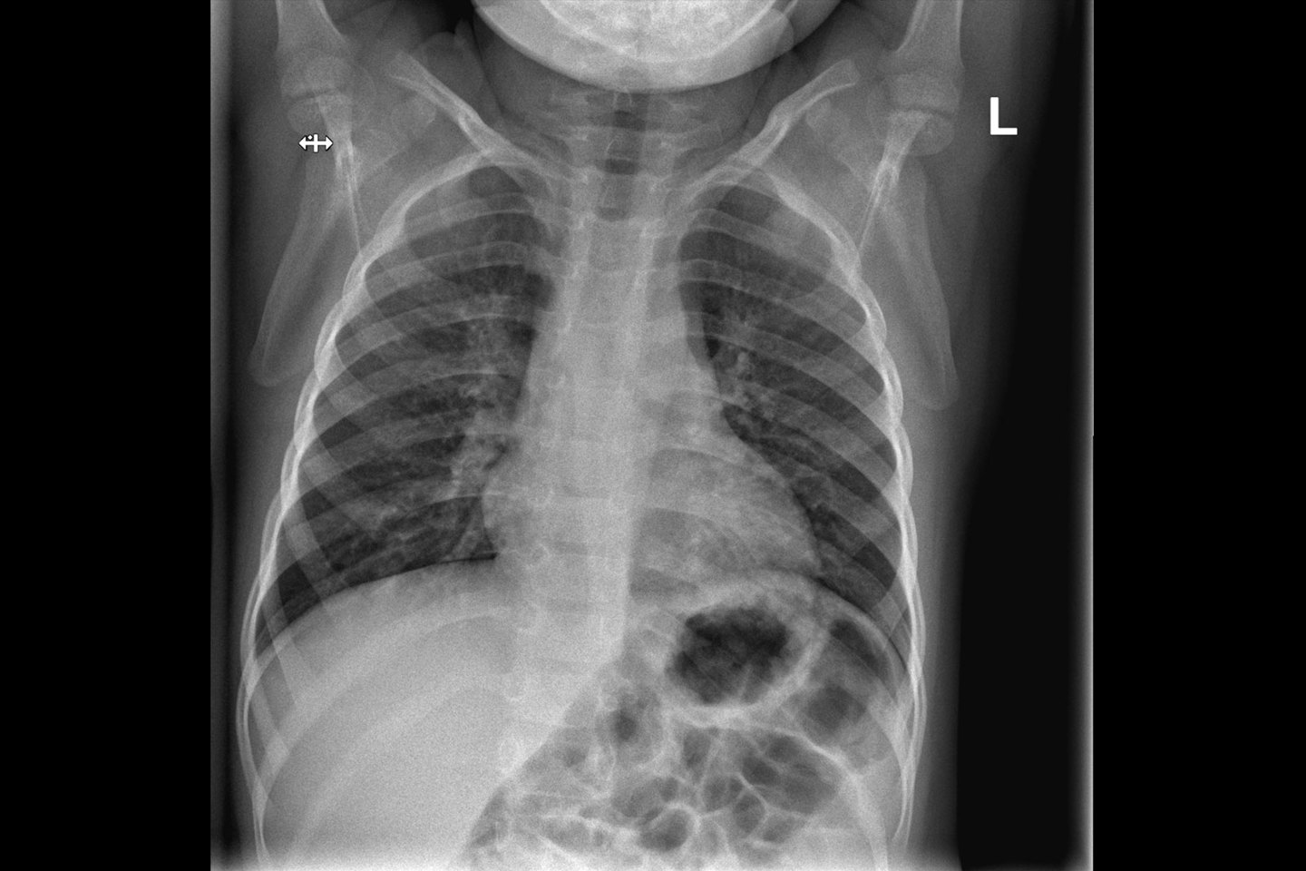
Zo ziet een foto van de binnenkant van je bovenlijf eruit.
This is how a picture of the inside of your upper body looks like.
Voici à quoi ressemble une radio de l’intérieur de votre corps.
Tak wygląda obraz wnętrza górnej części ciała.
Vücudunun üst kısmının içinin fotoğrafı işte böyle gözüküyor.
هكذا تبدو صورة ما بداخل الجزء العلوي لجسمك.